大動脈瘤の早期発見と最新治療 (院長)

手術方法の進歩により大動脈瘤の治療成績は各段に向上しています。しかし、破裂時の死亡率はいまだに高く、早期発見と破裂前の治療が極めて重要です。大動脈瘤は真性大動脈瘤と解離性大動脈瘤の2種類に大別されますが、今回は真性大動脈瘤に関して記載します。後者に関しては、病院ブログに『急性大動脈解離』として掲載(2023年11月13日)しましたのでご参照下さい。

なお、本文の要旨は医療講演(2025年10月16日)にて発表しました。

1)大動脈瘤とは?

大動脈は心臓から出る最も大きな血管で、全身に酸素に富んだ動脈血を送ります。通常の太さ(正常径)は胸部大動脈が3.0 – 2.5 cm、腹部大動脈が2 cm前後です。通常の大動脈瘤(真性)は大動脈の全層が拡張したものです。大動脈瘤の原因は主に動脈硬化で、特に血圧上昇が誘因となります。慢性に拡大するため、通常は痛みなどの自覚症状はありません。

2)大動脈瘤の手術成績

大動脈瘤が大きくなると手術が必要になります。手術の基準は胸部大動脈瘤では概ね6cm以上、腹部大動脈瘤では5cm以上です。手術後の在院死亡率は、破裂前の予定手術では胸部大動脈瘤が1.9%(全国集計2023年)、腹部大動脈瘤が2%以下ですが、破裂後の緊急手術では各々13.9%、20%以上と増加します。

3)腹部大動脈瘤に対する一般住民健診の試み

大動脈瘤の早期診断を目的とした新しい検診を群馬大学病院勤務時に行いました。

①腹部超音波(エコー)を用いた住民健診:1992年7月

日本初の試みとして群馬県内の18自治体で行いました。受診者総数は約12000名(60歳以上)で、大動脈瘤の発見率は男が0.8%、女が0.03%でした。

上毛新聞 1996年11月28日付

②移動用(車載)CTを用いた腹部総合検診:2000年6月~

大動脈瘤以外の腹部疾患も併せて調べる目的で、計5613名に行いました。CTを用いた腹部住民検診は当時世界初の試みでした。この検診が可能となった理由には次の2つの技術的進歩がありました。

1.CT撮影装置の進歩(高速化):1名5分で撮影可能。車載も可能

2.遠隔画像診断:画像データを伝送することで、放射線専門医の迅速な読影(判定)が可能となりました。

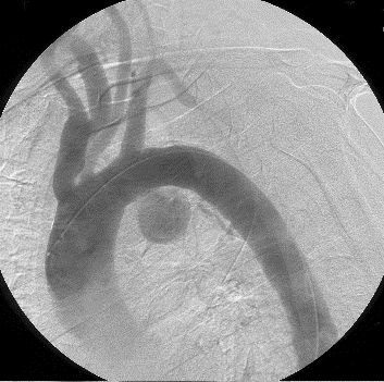
4)大動脈瘤に対するステントグラフト治療

大動脈瘤に対する手術は、以前は開胸もしくは開腹による人工血管置換術でした。近年はカテーテル治療(ステントグラフト挿入術)が積極的に行われており、手術の低侵襲化と成績向上に寄与しています。ただし、すべての患者さんにこの方法が適しているわけではありませんのでご注意下さい。

ステントグラフト

ステントグラグト挿入術:レントゲン透視下に実施

胸部大動脈瘤のステントグラフト治療

     

おわりに

1.大動脈瘤は動脈硬化(血管の脆弱化)に起因するため、加齢とともに増加します。しかし、動脈硬化の危険因子(高血圧,喫煙,糖尿病,高脂血症)を避けることは、大動脈瘤の発生や進行を防ぐために有効です。

2.CT撮影装置の進歩により、撮影時間の短縮と被ばく線量の低減が得られました。そのため、現在では大動脈瘤の診断にはCTが第一選択です。また、広範囲の詳細な画像(情報)が迅速に得られるため、当院では救急患者さんの初期診療に積極的に用いています。

2025年10月16日

石川 進