安心につながる画像検査(放射線科 石田 雄一郎)

1月24日に開催された公開医学講座において、放射線科からは「安心につながる画像検査 ~CTとMRIの特徴とメリット~」をテーマに担当しました。今回の講座では、「画像検査で何がわかるのか」、「なぜ体の中を画像で見る必要があるのか」、「CTとMRIはどのように使い分けられているのか」といった日頃よくいただく疑問を取り上げ、病院で検査を受ける際に知っておくと安心につながる内容をお伝えしました。

「体の中を“見える形”にする画像検査」

人の体の中は外から直接見ることができません。画像検査は、体の内部の状態を詳しく調べ、病気の早期発見・早期治療につなげるための大切な手段です。

・外からは分からない異常を見つける

・病気の早期発見につながる

・医師が治療方針を決める手助けになる

・急な病気の有無をすばやく確認できる

これらが、画像検査が医療現場で欠かせない理由です。

「CT検査とは? ― 短時間で広く調べる検査」

CT検査はX線を用いて体の中を輪切りの画像として撮影する検査です。昔に比べ短時間で、より安全に検査が行えるようになっています。現在のCTは「ヘリカルCT」と呼ばれる方式で、ベッドが動きながら連続で撮影をします。これにより、検査時間は多くの場合数分程度で終了し、息止めの時間も短く済みます。

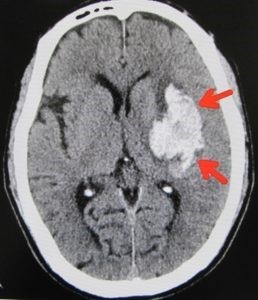
短時間で一度に広範囲の撮影が可能で、多くの情報を得られることがCT検査の大きな特徴です。CT検査は特に、脳出血、肺炎や肺がん、骨折、腹部疾患の診断に有用です。また、骨折部位を立体的に確認できる3D画像作成にも活用され、治療方針の決定や手術計画にも役立てられています。

脳出血

肺の病気(肺炎や肺がんなど)

骨折・3D画像

さらに、救急医療の現場では出血や骨折の有無を迅速に確認する検査として重要な役割を担っています。急な体調変化や外傷時に、短時間で全身状態を把握できることが、早期治療につながります。

CT検査では放射線を使用しますが、必要最小限の線量で安全に管理された環境で行っています。

・線量は適切に管理

・必要な範囲のみ撮影

・検査のメリットが大きい場合に実施

日常生活に支障が出るような影響はありませんので、安心して検査を受けていただけます。

不安なことがあれば、遠慮なくスタッフにご相談ください。

 「MRI検査とは? ― 放射線を使わず詳しく調べる検査」

MRI検査は、強い磁石と電磁波を利用して体の中の水分(水素原子)の状態を詳しく画像化します。

・放射線を使用しないため、被ばくを心配せずに受けられる検査

・脳・神経・関節・脊椎などの描出が得意

・柔らかい組織を詳しく調べられる

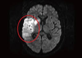
MRI検査は特に、脳梗塞、椎間板ヘルニア、関節疾患などの診断に有用です。

まず、MRIが得意とするのが脳と神経の検査です。例えば、脳梗塞の早期発見や眩暈・しびれの原因検索などに使用されます。CTでは分かりにくい脳の細かな変化もMRIでは映し出すことができます。

次に背骨や腰の痛みの原因を調べる検査です。椎間板ヘルニアや神経の圧迫を画像で確認することができます。

そして、関節の検査では、靭帯や軟骨といった柔らかい組織を調べることができます。レントゲンでは主に骨の評価が中心となりますが、MRIでは関節の中の状態まで確認できるのが大きな強みです。

脳・神経(脳梗塞など)

脊椎・腰椎(ヘルニアなど)

関節(膝・肩など)

MRI検査中に「ガンガン」「ビービー」と大きな音がしますが、これは体の中を細かく撮影するため、装置内部が高速で動作している正常な音です。初めての方は「壊れているのでは?」と不安になることもありますが、これは正常に動いている音です。機械がきれいな画像を作っている音と考えてください。当院では検査時に耳栓やヘッドホンを使用し、音による負担を軽減しています。検査前には十分な説明を行い、初めての方でも安心して受けていただけるよう配慮しています。

 「安心して検査を受けていただくために」

検査前に気になることや不安がありましたら、どうぞ遠慮なくスタッフへお声がけください。

・体調が優れないとき

・検査が不安なとき

・途中でつらくなったとき

皆さまの「安心」が良い検査につながると考えています。

 まとめ

画像検査は、体内の状態を可視化し、早期発見・適切な治療につながる重要な役割を担っています。

当院では、今後も安心して検査を受けていただけるよう努めてまいります。

 2026年2月5日

放射線科 石田 雄一郎