心不全の予防と治療  (院長)

例年、寒い時期になると心不全の入院患者さんが増加します。今回は、心不全と原因となる病気、心不全の治療を中心に記載します。長編ですがご容赦下さい。

なお、本文の要旨は公開医学講座(2026年1月24日、片柳コミュニティセンター)にて発表しました。

Ⅰ.心不全の自覚症状

心不全とは、心臓の働きが低下して体や肺に血液をうまく循環させることができない状態です。自覚症状としては、息切れ、身体のだるさ、疲れ、下肢の浮腫、食欲の低下、体重の増加などがあります。心不全には、突然の心機能低下による急性心不全と、持続的な心機能低下による慢性心不全とがあります。前者は生命の危険を伴うため救急搬送されますが、後者は通常は外来診療(内服)での治療が可能です。

Ⅱ.心不全の体への影響

・尿量減少:腎臓への血液が減少 

⇒下腿、全身の浮腫(むくみ)

・体重増加:1週間で2~3キロ増加

・うっ血の進行:体中で血液が滞る

  胸部:呼吸苦、咳、胸水貯留  

⇒「起坐呼吸」「夜間呼吸困難」

  腹部:腹水貯留      

⇒ 食欲低下、腹部膨満

Ⅲ.心不全の自己診断

自分の体に触ることで、心不全の兆候を早めに知ることが可能です。最もわかりやすいのは下腿の浮腫です。図のごとく、下腿前面の骨(脛骨)を指で強めに押します。通常は押した際のへこみ(凹)はすぐに戻りますが、へこみ(圧痕)が残った場合は浮腫の可能性があります。

Ⅳ.心不全の原因となる主な病気

①急性心筋梗塞

検査及治療には冠動脈カテーテル検査が必要です。当院では2025年10月にカテーテル検査室が完成し、検査、治療を行っています。

心臓カテーテル検査室

②心臓弁膜症

心臓には4つの弁があり、特に左側の2つの弁(大動脈弁、僧帽弁)に逆流や狭窄が生じると心不全の原因となります。

大動脈弁は心臓の出口にあり、全身への血液はすべてこの弁を通過します。大動脈弁は加齢に伴って石灰化して行くため、高齢者では大動脈弁狭窄症がしばしば見られます(図・石灰化で狭窄した大動脈弁)。

③心房細動:慢性または発作性の不整脈です。

・症状:動悸、息切れ、めまい、胸苦しさ

・初期診断:脈拍の蝕知、心電図

心房細動は男性に多く、年齢に伴って増加します。80歳代では男性の4.4%、

女性の2.2%に心房細動がみられます。心房細動では心臓の動き(収縮)が不規則となるため心臓に負担がかかり、徐々に心拡大~心不全へと進むことがあります。最大の合併症は脳梗塞で、心臓(主に左心房)内にできた血栓が血管内を移動することで脳梗塞となります。

④高血圧性心不全

未治療の高血圧がある方で発症することがあります。

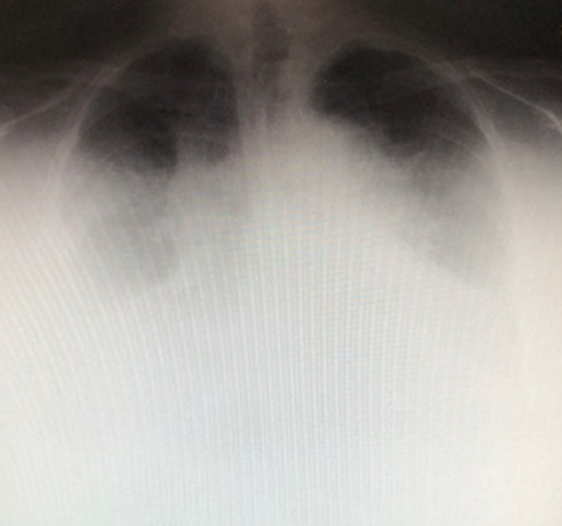
症例提示:70歳台女性

入院前経過:以前より高血圧があったが医療機関を受診せず。1~2か月前より全身のむくみがあり、時々呼吸が苦しくなった。2~3日前より呼吸苦が増悪し、救急車にて当院に搬送。到着時は仰臥位になれない「起坐呼吸」の状態。

入院時胸部単純X線像

心拡大、胸水貯留、全身浮腫が著明

入院後治療と経過

①呼吸が困難であったため、マスク式呼吸補助装置(BIPAP)を装着

②薬剤投与:強心剤、利尿剤、血管拡張剤など

③治療の効果

・体重の減少:浮腫の軽減により入院時よりも20kg超減少

・血液検査の改善

   NT-PROBNP(心不全の指標):19806(入院時) ⇒ 192 pg/ml(正常<125)

    肝・腎機能:正常化

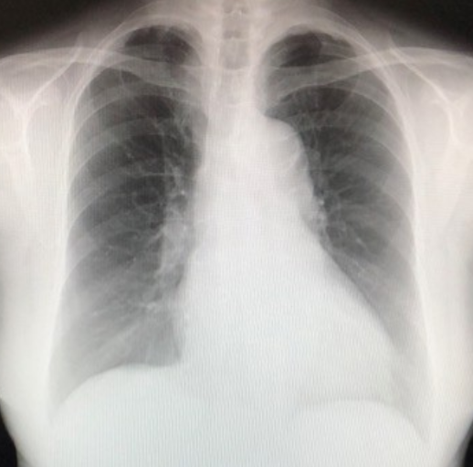
④入院期間35 日にて退院。

退院後1年8カ月の現在外来通院中。経過良好。

胸部単純X線像

Ⅴ.心不全の予防と治療

心不全はガイドラインでは4期(ステージA~D)に分けられます。

心不全発症前

・ステージA(心不全リスク):基礎疾患の治療を行います

  高血圧、動脈硬化性疾患、糖尿病、慢性腎臓病、肥満など

・ステージB(前心不全):心不全の発症予防のための検査、治療を行います。

心不全発症後

・ステージC(症候性心不全)

心不全の増悪や突然死を予防するための治療を行います。

・ステージD(治療抵抗性心不全):重症で各種治療の可能性を検討します。

Ⅵ. 当院での循環器診察

初診の場合は以下の順序で診療を行います。

 ①問診、診察(視診、触診、聴診)

 ②検査

・血液検査:重症度の評価、合併症の有無

・レントゲン検査:CT検査、胸部単純X線像

・心電図検査:不整脈、冠動脈疾患の有無

・心エコー検査

所要時間(①+②)は2~3時間で、半日で診断と治療(処方)が完結します。

自覚症状がある方は、早めの受診をお勧めします。

まとめ

〝心不全〟と聞くとすぐに“命に係わる状態”との印象があります。しかし、現在では検査や治療の進歩により、治療可能な場合が大半です。ただし、重症になってから救急車で搬送される場合は危険性が大きくなります。大切なのは早めに医療機関を受診して必要な治療を開始することで、日々の健康を維持することです。

2026年1月30日

石川 進